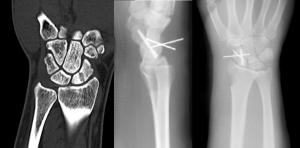
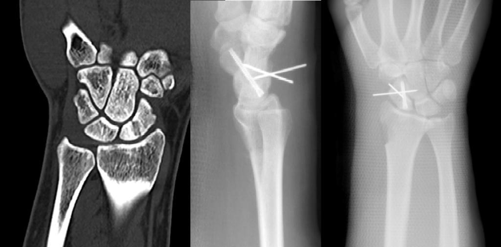
Ortopedi ve Travmatoloji Uzmanı
“Dosya seç kısmında vereceğiniz kişisel bilgileriniz Kişisel Verilerin Korunması Kanunu (KVKK) madde 6 kapsamında sayılan özel nitelikli kişisel veri niteliğinde olabilmektedir. Bu veriler Kişisel Verileri Koruma Kurulunun yayınladığı “Özel Nitelikli Kişisel Verilerin İşlenmesinde Veri Sorumlularınca Alınması Gereken Yeterli Önlemler” kararına uygun olarak online danışma hizmetinin verilebilmesi amacıyla işlenecek, saklanacak ve aktarılacaktır.”